采用Sony Exmor R/RS背照式传感器与双层降噪技术,实现2000万有效像素的超高清成像;
接近目镜的色域表现,满足病理诊断对颜色准确性的严苛要求;
高帧率CMOS传感器适配动态样本观测(如活体细胞分析)。
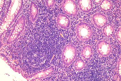
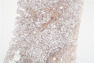
显微镜相机MHD2000采用Sony索尼Exmor,Exmor R, Exmor RS 背照式传感器,传感器采用双层降噪技术,具有超高的灵敏度以及超低噪声。具有高分辨率、高对比度和颜色还原准确的特点,高分辨率,高帧率,接近目镜的色彩表现,是液基细胞分析、免疫组化、骨髓细胞,精子分析总体图片质量要求高的理想摄像系统。不仅可以匹配我司显微镜,也可以灵活匹配其他国产和进口采用无限远光路系统的显微镜品牌型号,包括奥林巴斯、尼康、蔡司、徕卡、耐可视、麦克奥迪、凤凰等品牌显微镜。
专业级显微成像系统 MHD2000
采用Sony Exmor R/RS背照式传感器与双层降噪技术,实现2000万有效像素的超高清成像,具备:
超低噪声:传感器工作温度-10~ 50摄氏度,显著提升弱光环境成像质量
精准色彩还原:接近目镜的色域表现,满足病理诊断对颜色准确性的严苛要求
高速拍摄:高帧率CMOS传感器适配动态样本观测(如活体细胞分析)
核心应用场景
• 液基细胞学检测 • 免疫组化(IHC) • 骨髓涂片分析 • 精子形态学评估
全兼容性设计
适配主流无限远光路显微镜品牌:
✓ 奥林巴斯BX51等系列 ✓ 尼康/蔡司/徕卡 ✓ 麦克奥迪/凤凰等国产设备
支持三目头卡口灵活配置,提供0.5XC/1XC接口选项
智能软件赋能
配套分析软件支持细胞计数、形态测量及荧光图像处理,提升诊断效率
有效像素 | 2000万 |
芯片尺寸 | 1" |
数据接口 | USB3.0 |
像元尺寸 | 2.4μm×2.4μm |
分辨率和帧率 | 15@5440x3648;50@2736x1824;60@1824x1216 |
曝光时间 | 0.1ms~15s |
G光灵敏度/暗电流 | 462mv with 1/30s |
光谱响应范围 | 380-650nm (有红外截止滤光片情况下) |
白平衡 | ROI 白平衡/手动Temp-Tint调整 |
色彩还原技术 | Ultra-Fine TM颜色处理引擎 |
捕获与控制API | Native C/C++, C#/VB.Net, DirectShow, Twain和Labview |
记录方式 | 图像和视频 |
采集软件 | Minghui1.0 |
制冷方式* | 自然冷却 |
相机工作环境 | |
工作温度(摄氏度) | -10~ 50 |
贮存温度(摄氏度) | -20~ 60 |
工作湿度 | 30~80%RH |
贮存湿度 | 10~60%RH |
供电电源 | 相机通过USB接口供电 |
软件运行环境 | |
操作系统 | Microsoft® Windows®XP/ Vista / 7 / 8 /10/11(32 & 64 位) |
计算机配置 | CPU:Intel Core 2 2.8GHz 或更高 |
内存:2GB或更大 | |
USB接口: USB3.0高速接口或USB2.0接口 | |
显示器:17”或以上 | |
CD-ROM | |

热线020-87096762

致电13418179239

