应用案例
Application Case
专业显微镜方案提供商
服务实验教学、医学检验、生命科学研究与工业检测全领域
服务实验教学、医学检验、生命科学研究与工业检测全领域
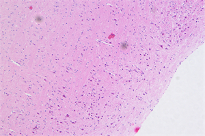
神经纤维系统研究对显微成像的清晰度、分辨率及荧光捕捉能力有着较高要求,近日,明慧工程师在了解到广州一研究所实验室需要适配神经纤维系统研究的显微镜与摄像头后,与实验室老师深入沟通,结合其科研需求与实际应用场景,推荐了NE910显微镜搭配MHD2000摄像头的显微解决方案,该方案因适配性强、贴合研究需求,快速获得了客户的初步认可。

为确保方案完全契合实验需求,工程师现场开展应用演示与实操指导。实践证明,该套解决方案在神经纤维系统荧光观察中表现出色:NE910显微镜采用NIS无限远光学系统,色彩还原度高,能清晰呈现神经纤维的细微结构,其灵活的荧光观察功能可有效减少背景信号干扰,贴合神经纤维研究的观测需求;搭配的MHD2000摄像头拥有2000万高像素,采用高灵敏度传感器,能精准捕捉荧光成像细节,助力研究人员高效记录实验数据。

经过一段时间的实际应用,实验室技术人员对该套方案的操作便捷性、成像稳定性给予高度评价,使用体验十分满意。同时,该方案凭借出色的性能与合理的定价,凸显高性价比优势,进一步获得了实验室老师的充分认可与肯定,为其神经纤维系统相关研究的顺利推进提供了有力支撑。

如果您的实验室也有神经纤维系统研究或其他显微观测需求,想要获取适配的高性价比显微解决方案,欢迎随时联系我们询价,我们将结合您的具体需求,提供专属定制服务与专业技术支持。

热线020-87096762

致电13418179239

