应用案例
Application Case
专业显微镜方案提供商
服务实验教学、医学检验、生命科学研究与工业检测全领域
服务实验教学、医学检验、生命科学研究与工业检测全领域
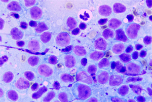
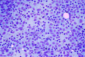
近日,明慧工程师了解到一家宠物医院需要用到显微镜摄像头搭配奥林巴斯显微镜观察宠物肿瘤的需求,为其推荐了MHD2000高清相机的显微成像系统。这一推荐满足了客户的实验需求,在现场演示过程中因清晰的成像效果得到客户的充分肯定和认可。

明慧MHD2000高清摄像系统具备两大优势,精准解决宠物肿瘤诊疗中的关键痛点:
1.高分辨率成像:MHD2000高清摄像头能够清晰的捕捉到肿瘤的微小细节,肿瘤组织形态、细胞特征清晰可见,借助相机配备的MingHui 1.0显微软件,不仅能快速拍摄、清晰记录成像画面,更能为宠物肿瘤的病理分析、病情确诊提供客观、详细的图像依据,助力医护人员制定精准诊疗方案,有效提升宠物诊疗效果与生命周期。

2.操作简便:配备的MingHui 1.0显微软件的操作界面简洁直观明了,功能分区清晰,实验操作人员无需复杂的培训即可快速上手完成图像采集、保存、导出等全流程操作,大大提高了工作效率。

明慧MHD2000高清相机与奥林巴斯显微镜的高效适配,为研究宠物肿瘤提供了可靠的平台。其提供的高清、精准的成像数据,有助于实验人员快速获取准确的病理诊断依据,也优化了宠物肿瘤诊疗的实验条件,为提升宠物存活率提供了有力保障。
若您的单位机构也存在显微镜成像升级、肿瘤精准观察等相关需求,欢迎随时联系明慧咨询详情。我们将结合您的设备型号与实际应用场景,为您定制更贴合需求的显微成像解决方案。

热线020-87096762

致电13418179239

